近日,妇儿与生殖健康研究院陈子江院士团队刘洪彬教授课题组在精子发生分子调控机制研究领域取得系列新进展。成果先后发表在AdvancedScience、iScience、Cells、Journal of Translational Medicine,相关研究丰富了生殖细胞减数分裂和精子形态维持的理论基础。
一、揭示剪接因子CWF19L2调控精原细胞分化的分子机制
精子发生是一个高度复杂的动态过程,每个阶段都需要精确的基因表达调控。在大脑和睾丸等功能复杂的器官中,选择性剪接(alternative splicing)作为基因表达转录后调控的重要方式之一,极大丰富了生物体内转录组和蛋白质组的多样性。越来越多的剪接因子被证明参与精子发生过程的转录和转录后水平调控,从而保证精子发生的顺利进行。尽管我们对此有了一定的认识,但精子发生过程中剪接因子(splicing factor)对选择性剪接调控的内在机制仍有待深入探究。
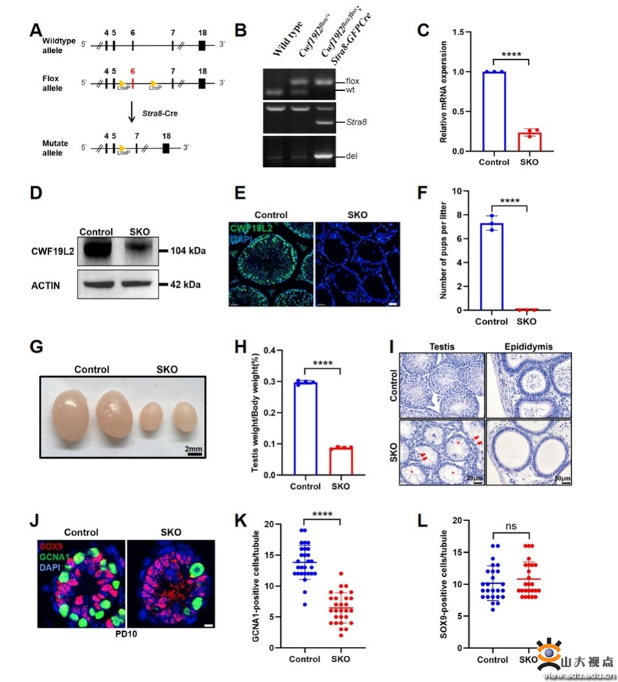
研究表明,CWF19L2在精子发生过程中扮演重要角色,通过调控选择性剪接影响雄性生育能力。以敲除小鼠为模型揭示了CWF19L2在精原细胞分化过程中的重要作用和机制。CWF19L2通过GGMRGV序列直接结合靶基因,或通过结合剪接因子(如RBFOX1等)间接结合pre-mRNA,调控精子发生相关基因的选择性剪接。其敲除导致异常剪接事件大量积累,最终导致精原细胞分化异常。

在酵母中,CWF19L2的同源蛋白DRN1参与剪接复合体对内含子去除过程的调控。然而,作为一个高度保守的蛋白质,其在哺乳动物中的功能和作用机制尚不清楚。由于小鼠精子发生涉及多种细胞类型和生物过程,因此成为研究转录和转录后水平基因调控的理想模型。研究人员首先分析了CWF19L2在小鼠睾丸中的表达和定位,结果表明,CWF19L2在雄性小鼠睾丸组织中高表达;进一步研究发现CWF19L2在核内高表达,且与SC35, PRPF8等剪接复合体蛋白共定位,与多个剪接复合体蛋白互作,由此推测CWF19L2可能在精子发生中发挥剪接相关功能。随后,研究人员利用CRISPR-Cas9基因编辑技术,利用Stra8-Cre工具鼠在小鼠生殖细胞中条件性敲除Cwf19l2基因。研究结果显示,Cwf19l2敲除雄鼠(Cwf19l2-SKO)不育,睾丸显著萎缩,睾丸曲细精管中生殖细胞大量减少,附睾中无精子。然而,利用Amh-Cre工具鼠在小鼠支持细胞中条件性敲除Cwf19l2基因并未影响精子的产生。以上结果表明CWF19L2对雄性生育力至关重要,且在生殖细胞中发挥独特的功能。

研究人员通过对多年龄点小鼠睾丸石蜡切片的免疫荧光分析发现,Cwf19l2敲除后,雄鼠生殖细胞有丝分裂正常进行,但无法进入减数分裂。为了确定精原细胞阻滞的具体阶段,研究人员利用未分化精原细胞标志PLZF,定向分化精原祖细胞标志SOX3以及分化精原细胞标志CKIT进行免疫荧光染色分析,将异常锁定在精原细胞分化阶段。上述研究表明,CWF19L2在精原细胞分化过程中可能发挥的重要作用。
通过整合Smart-seq和LACE-seq数据,研究人员进一步发现CWF19L2不仅通过GGMRGV序列直接结合并调控精子发生相关基因(Znhit1、Btrc和Fbxw7)和RNA剪接相关基因(Rbfox1、Celf1和Rbm10)的剪接;还可通过调控剪接因子RBFOX1,间接放大其对剪接事件的影响。

该研究发现,在Cwf19l2基因敲除小鼠中,分化的精原细胞显著减少,大量异常选择性剪接事件积累使精子发生无法正常进行,最终导致雄鼠不育。CWF19L2作为剪接因子,通过多种调控方式影响生殖细胞精子发生所需的关键基因的选择性剪接,以确保该过程的顺利进行。该研究极大地促进了对精子发生所依赖的选择性剪接机制的了解,并为探索男性不育病因提供了新的视角。
威尼斯欢乐娱人v3676陈子江院士、刘洪彬教授、黄涛副研究员,香港中文大学-威尼斯欢乐娱人v3676生殖遗传联合实验室路钢教授为共同通讯作者,威尼斯欢乐娱人v3676妇儿与生殖健康研究院博士研究生王诗语和蔡玉玲为该文章的共同第一作者。
二、去泛素化酶相关因子UAF1通过USP1调节精子形成过程
精子形成是单倍体圆形精子细胞经过复杂的形态变化转变为成熟的长形精子的过程,包含染色质重塑、顶体形成、鞭毛发生和组装、线粒体重排以及细胞质清除等关键事件。在精子形成过程中,维持蛋白质合成和降解的动态平衡非常重要,这一过程与泛素-蛋白酶体途径的调控密切相关。

UAF1是去泛素化酶的相关因子,能够激活和稳定去泛素化酶。研究人员利用Stra8-Cre工具鼠在生殖细胞特异性敲除Uaf1基因,发现雄性小鼠不育和睾丸减小。Uaf1条件性敲除小鼠的精子发生障碍、精子头部和线粒体鞘的结构畸形。为深入探索UAF1在精子形成中的分子作用机制,通过IP-MS分析鉴定到睾丸中UAF1的互作蛋白USP1。生殖细胞特异性敲除Uaf1基因导致USP1的蛋白水平降低和定位异常,证明在精子发生中UAF1通过调节USP1去泛素化酶发挥关键作用。通过流式分选富集单倍体圆形精子细胞进行蛋白质组学分析,进一步发现生殖细胞中特异性敲除Uaf1基因导致精子发生相关蛋白KDM3A、BRDT和MORC3蛋白水平下降。
本研究首次发现生殖细胞特异性敲除Uaf1基因导致雄性不育和精子发生障碍。UAF1在调节USP1的表达和亚细胞定位中发挥关键作用,并且参与稳定精子发生相关蛋白。该研究发表在Cell旗下子刊iScience,陈子江院士、刘洪彬教授和黄涛副研究员为共同通讯作者。威尼斯欢乐娱人v3676妇儿与生殖健康研究院博士研究生王子奇为本文第一作者。
三、TTC6介导的鞭毛annulus结构稳定确保精子快速前向运动
精子的运动能力对于成功受精至关重要,主要受内、外动力蛋白臂的推动,促使外部微管滑动,使鞭毛产生弯曲力。鞭毛的高速游动稳定性依赖于多种微管蛋白以及轴突周围结构元件。精子尾部有一环状结构称为annulus,该结构由丝状物质组成,与质膜紧密连接,用于连接鞭毛的中段与主段,在精子正常的前向运动和尾部正确组装中发挥重要功能。
四肽重复蛋白6(TTC6)是TRP家族的成员之一,在小鼠睾丸中高度富集表达。为了阐明Ttc6基因在体内的生物学功能,我们构建了Ttc6基因敲除小鼠,发现该基因敲除导致雄性小鼠不育。通过体内、体外受精实验,发现Ttc6基因敲除小鼠精子的体内精卵结合能力下降。CASA实验分析显示,Ttc6基因敲除导致小鼠精子前向运动能力下降。在高速摄像机下发现敲除小鼠精子的鞭毛摆动异常,精子运动呈现异常环游模式。为了探究Ttc6基因敲除小鼠精子的超微结构变化,通过透射电镜和扫描电镜联合发现Ttc6基因敲除小鼠中段和主段交界处annulus结构缺失。

本研究首次证实Ttc6参与精子annulus结构构建,确保精子的快速前向运动中发挥重要作用,为相关基因突变导致的不育症提供新的理解和诊疗依据。本研究发表于Cells ,威尼斯欢乐娱人v3676黄涛副研究员为通讯作者,威尼斯欢乐娱人v3676妇儿与生殖健康研究院博士研究生王子奇为本文第一作者。
四、MORN2通过影响线粒体功能及线粒体鞘结构调控精子运动
线粒体是细胞能量代谢的重要场所,线粒体代谢水平在一定程度上可以反应精子的活性及质量。线粒体膜电位水平与催化顶体反应及保持染色质完整性相关。线粒体还可以通过调节活性氧化物水平,参与免疫反应和细胞凋亡的调控,进而对精卵结合及受精产生重要影响。线粒体鞘是精子鞭毛中段的鞘状结构。在精子发生后期,球形的线粒体从细胞质中被募集,经历对齐、互锁和压缩三个阶段,最终排列成紧密包绕在轴丝周围的双螺旋鞘状结构,紧密排列的线粒体鞘使浓缩后的线粒体保持了较高的代谢效率,在精子运动能力调节中发挥重要作用。然而,调节线粒体鞘形成的具体机制及其对精子功能的影响尚不明确,这也是精子后期研究的热点问题。
MORN2是一种进化上高度保守的睾丸富集蛋白。我们发现Morn2基因敲除小鼠睾丸形态及精子数量无显著改变,但其精子形态异常,运动能力低下,体外受精率降低,从而导致雄性不育。进一步研究发现,Morn2基因敲除小鼠线粒体鞘形成异常,线粒体大小不一且形态各异,线粒体之间互不相连,无法在轴丝周围形成紧密的鞘。此外,Morn2基因敲除小鼠精子代谢水平受损,表现为线粒体膜电位下降、活性氧化物水平升高,ATP水平下降等。转录组学分析显示,敲除小鼠中参与细胞迁移及运动的负调控相关蛋白表达下调,参与离子通道的活性调节相关蛋白表达上调,提示Morn2的敲除可能与小鼠精子运动能力调节受损和离子稳态失衡相关。

本研究说明Morn2对于雄性生殖是必不可少的,Morn2可能不仅参与线粒体鞘的形成,还在细胞代谢调节中发挥重要作用。综上,本研究为弱精子症的病因学研究提供了新的思路,并为男性避孕技术研发的提供了新的潜在靶点。该研究发表于Journal of Translational Medicine ,黄涛副研究员、张浩波教授为本文共同通讯作者,威尼斯欢乐娱人v3676妇儿与生殖健康研究院博士研究生刘伊宁为本文第一作者。
生殖医学团队刘洪彬教授聚焦生殖细胞减数分裂调控机制研究。近五年在Sci Adv(2019)、Nucleic Acids Res(2019、2023a & 2023b)、Sci Bull(2020)、Elife(2020、2023 & 2024)、EMBO J(2021)、Genome Biol(2022)、Protein Cell(2022)、Current Biol(2023)、Natl Sci Rev(2023)、AdvSci(2019 & 2024)等杂志发表了多项研究成果。上述研究得到威尼斯欢乐娱人v3676攀登计划创新团队项目、国家重点研发计划、国家自然科学基金、山东省重大科技创新工程、山东省杰出青年基金等资助。